2025. 8. 22. 03:37ㆍ인생 2막 [노후·제2커리어·건강·마인드셋]
왜 단순히 생활하는 것만으로도 두통이 생기는가
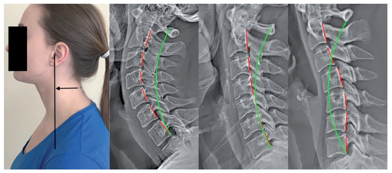
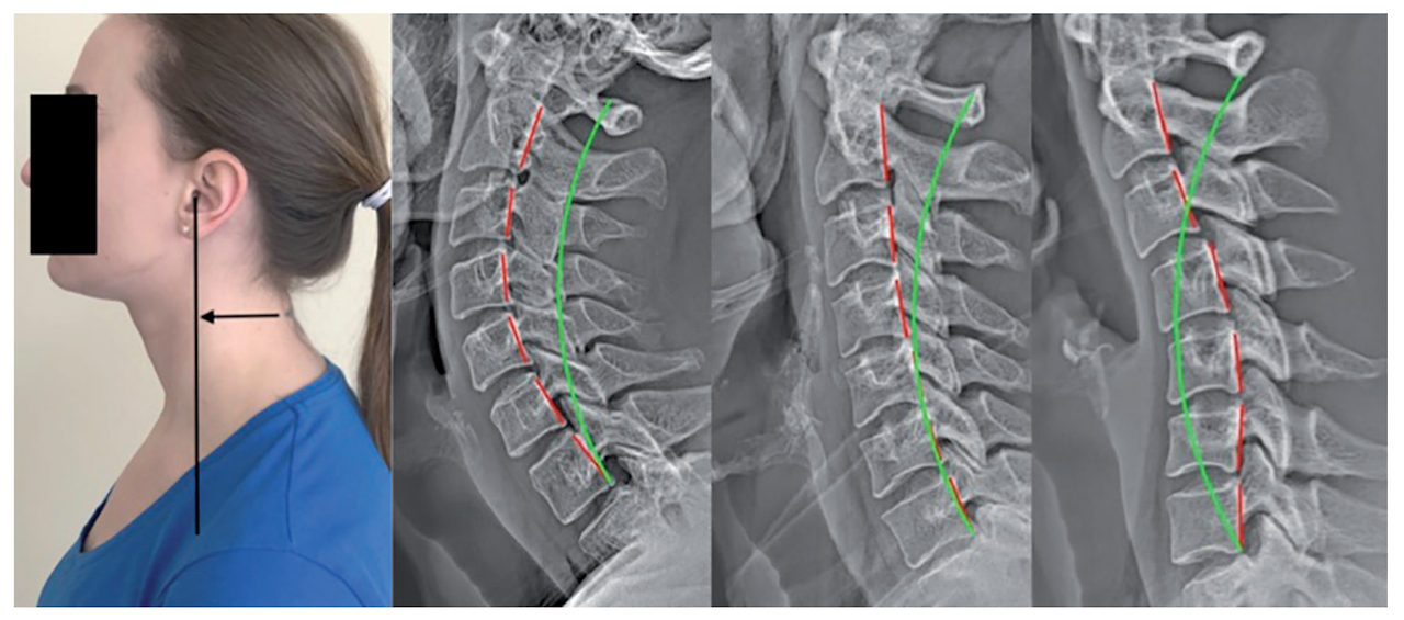
책상에 앉아 공부를 조금만 해도 머리가 지끈거리기 시작하고, 출근길 운전대만 잡아도 목 뒤가 뻐근해지고, 아침에 눈을 떴는데 이미 두통으로 하루가 시작되는 경험을 해본 적이 있는가. 이는 단순한 피로나 일시적 스트레스가 아니라, 목의 구조적 문제에서 비롯된 전형적인 신호입니다.
이 신호의 핵심 원인은 바로 **전방머리자세(Forward Head Posture, FHP)**입니다.
머리가 어깨보다 앞으로 빠져 있는 이 자세는 흔히 ‘일자목’, ‘거북목’이라고 불리며, 현대인에게 너무나 익숙한 모습이 되었습니다. 문제는 이 자세가 단순히 목만 불편하게 만드는 것이 아니라, 뇌로 가는 혈류를 방해하고 신경을 압박하여 두통·현훈·구토까지 이어질 수 있다는 점입니다.
최근 연구들은 스마트폰 사용, 장시간 운전, 좌식 생활, 잘못된 수면 자세가 모두 FHP를 악화시키는 요인임을 보여주고 있습니다. 즉, 우리는 그저 살아가는 일상 속 모든 순간마다 두통의 위험에 노출되고 있는 셈입니다.
1. 스마트폰과 거북목 – 손 안의 기계가 만든 신경통
1-1. 스마트폰 사용과 목 통증의 상관관계

미국 물리치료학회는 “하루 3시간 이상 스마트폰을 고개 숙이고 사용하는 청소년은 목 통증과 두통 발생률이 일반인보다 2배 이상 높다”고 보고했습니다.
특히 청소년·대학생은 근골격계가 완전히 발달하지 않았기 때문에, 장시간 전방머리자세가 경추의 곡률(Cervical Lordosis)을 무너뜨리고 조기 퇴행성 변화를 불러옵니다.
한국에서도 중고등학생 1,200명을 대상으로 한 조사에서 **‘주 20시간 이상 스마트폰 사용’ 집단의 두통 호소율이 41%**로 나타나, 단순 피로가 아닌 구조적 문제임을 확인할 수 있었습니다.
1-2. Text Neck 증상
스마트폰으로 대표되는 FHP 증상을 일컬어 **“Text Neck”**이라고 부릅니다.


머리가 앞으로 2.5cm 이동할 때마다 목 근육이 받는 부담은 약 5kg씩 늘어나는데, 이는 6시간 스마트폰 사용 시 목에 30kg 이상의 하중이 지속되는 것과 같습니다.
그 결과, 후두하근·승모근이 긴장하면서 경추 신경을 압박하고, 결국 두통이 목에서 시작해 관자놀이와 이마까지 확산됩니다.
많은 환자가 “눈이 침침하고, 머리가 조여 오는 듯하다”고 표현하는 이유도 여기에 있습니다.
👉 인포그래픽 아이디어: 스마트폰 사용 시간별 두통 위험도
- 1시간: 상대 위험도 1.2배
- 3시간: 2배
- 6시간 이상: 3.5배 이상
2. 운전자의 목 건강 – 핸들을 잡는 순간 시작되는 고통
2-1. 프로 운전자 연구
버스·택시 기사 1,000명을 대상으로 한 국내 연구에서 70% 이상이 경추성 두통을 호소했습니다.
좁은 좌석, 전방 주시 자세, 차량 진동은 모두 **두개-척추각(CVA, Craniovertebral Angle)**을 줄여 거북목을 심화시키는 요인입니다.
특히 10년 이상 운전한 기사 중 상당수는 경추 추간판 퇴행과 후두하근 과긴장 소견을 보였습니다. 단순 직업병이 아니라, 장시간 운전이 목 구조 자체를 바꿔놓는다는 것을 보여주는 사례입니다.
2-2. 혈류·신경 압박 기전
운전 시 시야 확보를 위해 턱을 앞으로 내밀게 되는데, 이때 후두하근이 경직되고 경추 1–2번 주변의 신경총을 압박합니다. 그 결과, 두개골 기저부에서 시작되는 두통이 뒤통수와 관자놀이로 번져갑니다.
한 신경외과 교수는 “CVA가 작을수록 현훈 지수(DHI)가 높아지고, 경추 고유수용성 오류(JPE)가 증가한다”며, 목이 앞으로 나가면 단순 통증이 아니라 균형감각과 신경계 정확성까지 무너진다고 설명합니다.
👉 체크리스트: 운전 중 거북목 방지 습관 5가지
- 시트 등받이 100–110도 세우기
- 목 받침대 높이를 귀 높이에 맞추기
- 1시간 이상 운전 시 스트레칭 필수
- 핸들을 너무 멀리 잡지 말고 팔꿈치 살짝 굽히기
- 출발 전 턱 당기기 운동 5회
3. 장시간 좌식 생활 – 공부와 업무가 목을 파괴한다
3-1. 좌식 생활과 통증

사무직 직장인 2,000명을 대상으로 한 조사에서, 하루 6시간 이상 앉아 있는 집단은 목 통증 경험률이 60% 이상, 두통 동반률이 35% 이상이었습니다.
특히 모니터가 눈높이보다 낮으면, 고개가 자연스럽게 앞으로 숙여져 FHP를 고착화시킵니다.
3-2. 실제 사례
대입 준비생 A씨(19세)는 하루 12시간 이상 공부한 뒤 두통이 심해 구토까지 경험했습니다. 검사 결과 경추 배열 이상이 확인되었고, 재활치료 후 두통 빈도가 절반 이하로 감소했습니다.
이 사례는 “노력은 했는데 몸이 버티지 못하는” 청년층의 고통을 잘 보여줍니다.
👉 표: 좌식 시간 vs 목 통증 발생률
| 좌식 시간 | 목 통증 경험률 | 두통 동반률 |
| 2시간 미만 | 20% | 10% |
| 4시간 | 35% | 18% |
| 6시간 | 60% | 35% |
| 10시간 이상 | 80% | 55% |
4. 수면과 일자목 – 자고 일어나도 아픈 이유
4-1. 경추 배열과 근육 긴장
아침에 일어나자마자 목이 뻣뻣하고 두통이 시작된다면, 이는 수면 중 잘못된 베개와 자세로 인해 경추 정렬이 무너지고 근육이 긴장된 채 고정되었기 때문입니다.
특히 높은 베개는 목을 앞으로 밀어 거북목을 악화시키는 주요 요인입니다.
4-2. 베개 높이와 두통
재활의학 연구에 따르면 경추 전만을 유지하는 베개 높이(약 7–10cm)가 두통 발생률을 최소화합니다.
너무 높거나 낮은 베개를 사용할 경우 아침 두통 확률이 2배 이상 증가했습니다.
👉 체크리스트: 수면 시 목 건강 4원칙
- 베개 높이 7–10cm 유지
- 목·어깨 사이 빈틈 메우는 지지대 사용
- 옆으로 잘 경우 목이 꺾이지 않도록 균형 유지
- 엎드려 자기 금지
5. 신체 기능적 영향 – 근지구력과 뇌까지 흔들린다
5-1. 근지구력 저하
FHP 환자는 정상인보다 목 근육 지구력이 평균 30% 낮습니다.

이는 단순 두통을 넘어 어깨 결림, 팔 저림, 손 감각 둔화로 이어져 일상 생산성을 떨어뜨립니다.
5-2. 뇌파 변화
한국에서 진행된 연구에 따르면, 전방머리자세 청소년에게서 알파파는 감소하고 베타파는 증가했습니다.
이는 곧 집중력 저하, 불안, 기억력 감퇴와 연결되며, 공부와 업무 효율까지 무너뜨립니다.
👉 정상 목 vs FHP 혈류·신경 비교
- 정상: 뇌로 가는 혈류 원활, 신경 안정
- FHP: 후두하근 수축, 혈류 감소, 신경 압박
6.세대 변화와 사회적 문제
과거에는 경추성 두통 환자가 주로 40대 이후였지만, 최근 20대 환자가 급격히 늘고 있습니다.
스마트폰·온라인 학습·게임·장시간 운전 등, 생활 전반이 거북목을 강화하는 환경이 되었기 때문입니다.
대한신경외과학회는 “청년층 두통 환자 10명 중 3명은 경추성 두통”이라고 밝혔습니다.
이는 개인의 건강 문제를 넘어, 사회적 비용 증가로 이어질 수 있다는 점에서 경고가 됩니다.
https://koreacommonsense.tistory.com/181
[경추 시리즈 최종] 경추 두통 내가 써 본 모든 민간 요법, 병원 치료 방법
1. 병원치료 및 마사지 프로그램 병원 치료OO 신경외과신경차단 주사 10회 이상 + 물리치료 5년 : 증상이 심할 때마다 내원 처음에 효과있다가 효과 없음OO 대학병원약물 치료 5개월 : 2주마다 내원
krdotsense.com
https://koreacommonsense.tistory.com/62
진통제가 듣지 않는 두통, 일자목 때문일 수 있습니다 (치료법 총정리)[경추시리즈 1]
일자목 두통, 왜 진통제로 안 낫는가?두통의 진짜 원인은 목이다 두통이 오면 대부분은 습관처럼 진통제를 찾습니다. 하지만 어떤 두통은 약을 먹어도 낫지 않고, 며칠 동안 머리 전체가 울리며
krdotsense.com
https://koreacommonsense.tistory.com/64
일상 모든 순간이 고통으로 이어지는 두통 – 스마트폰, 운전, 수면과 일자목 두통[경추시리즈 3]
왜 단순히 생활하는 것만으로도 두통이 생기는가책상에 앉아 공부를 조금만 해도 머리가 지끈거리기 시작하고, 출근길 운전대만 잡아도 목 뒤가 뻐근해지고, 아침에 눈을 떴는데 이미 두통으로
krdotsense.com
https://koreacommonsense.tistory.com/77
일자목·거북목 교정 효과 들쭉날쭉한 이유|운동·자세 교정법 총정리[경추시리즈4]
1. 정답은 있는데, 왜 내 몸은 다를까? 많은 사람들이 목 통증이나 두통으로 병원에 가면 비슷한 처방을 받습니다. “턱 당기기 운동을 해보세요”, “심부 경부 굴곡근을 강화해야 합니다”, “
krdotsense.com
https://koreacommonsense.tistory.com/78
편두통? 긴장성? 경추성? 헷갈리는 두통 증상 비교와 치료법[경추시리즈5]
경추성 두통, 긴장성 두통, 편두통은 증상이 겹치지만 치료 접근은 다릅니다. 국제두통분류(ICHD-3) 기준과 최신 근거를 바탕으로 구분법을 정리했습니다.1. ‘정확한 구분’이 치료를 바꾼다. 두
krdotsense.com
'인생 2막 [노후·제2커리어·건강·마인드셋]' 카테고리의 다른 글
| 편두통? 긴장성? 경추성? 헷갈리는 두통 증상 비교와 치료법[경추시리즈5] (6) | 2025.08.23 |
|---|---|
| 일자목·거북목 교정 효과 들쭉날쭉한 이유|운동·자세 교정법 총정리[경추시리즈4] (0) | 2025.08.22 |
| 거북목 두통과 뇌압 문제|왜 위험한가? 예방법까지 [경추시리즈 2] (0) | 2025.08.21 |
| 진통제가 듣지 않는 두통, 일자목 때문일 수 있습니다 (치료법 총정리)[경추시리즈 1] (0) | 2025.08.20 |
| 의사들이 말리는 건강검진 항목? 돈날리는 검사 TOP 7 (6) | 2025.08.20 |